아이디 찾기

아이디 찾기는 이름, 이메일을 입력하여 찾을 수 있습니다.

아이디 찾기

고객님 아이디 찾기가 완료되었습니다.

비밀번호 찾기

비밀번호 찾기는 이름, 아이디를 입력하여 찾을 수 있습니다.

비밀번호 찾기

고객님의 이메일로 비밀번호 정보를 보내드립니다.

LUCINATE
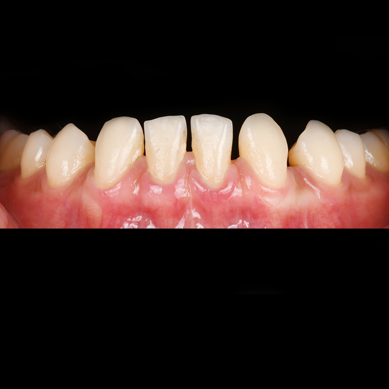
BEFORE AFTER

루시네이트 전후 사진 2025.04.18


치아 착색 치료를 위해 최소삭제/무삭제 루시네이트를 부착하여 매끄럽고 자연스러운 치아를 완성했습니다.

개인정보처리방침

루시드치과의원(이하 '본원')는 귀하의 개인정보보호를 매우 중요시하며, 『개인정보보호법』을 준수하고 있습니다.

본원은 개인정보 취급방침을 통하여 귀하께서 제공하시는 개인정보가 어떠한 용도와 방식으로 이용되고 있으며, 개인정보 보호를 위해 어떠한 조치가 취해지고 있는지 알려드립니다.

개인정보 취급방침의 순서는 다음과 같습니다.

  • 1. 수집하는 개인정보의 항목 및 수집방법
  • 2. 개인정보의 수집 및 이용목적
  • 3. 개인정보의 보유 및 이용기간
  • 4. 개인정보의 파기절차 및 그 방법
  • 5. 개인정보 제공 및 공유
  • 6. 수집한 개인정보의 취급위탁
  • 7. 이용자 및 법정대리인의 권리와 그 행사방법
  • 8. 동의철회 / 회원탈퇴 방법
  • 9. 개인정보 자동 수집 장치의 설치/운영 및 그 거부에 관한 사항
  • 10. 개인정보관리책임자
  • 11. 개인정보의 안전성 확보조치
  • 12. 정책 변경에 따른 공지의무

1. 수집하는 개인정보의 항목 및 수집방법

본원은 다음과 같은 개인정보를 수집합니다:

  • 진료정보: 성명, 생년월일, 주소, 연락처, 진료기록 (의료법에 의해 의무적으로 보유)
  • 회원가입 시: 필수항목 - 성명, 아이디, 비밀번호, 주소, 연락처(전화번호, 휴대폰번호), 이메일
    선택항목 - 생년월일, 문자 수신 여부, 메일 수신 여부, 관심 분야
  • 수집방법: 홈페이지, 서면양식, 팩스, 전화, 상담 게시판, 이메일

2. 개인정보의 수집 및 이용목적

본원은 수집한 개인정보를 다음과 같은 목적으로 활용합니다.

  • 진단 및 치료를 위한 진료서비스 제공
  • 예약 및 상담 서비스 제공
  • 회원제 서비스 운영
  • 통계 작성 및 새로운 서비스 안내

3. 개인정보의 보유 및 이용기간

본원은 개인정보의 수집목적이 달성된 후 해당 정보를 지체 없이 파기합니다. 단, 관련 법령에 따라 보존해야 하는 경우는 다음과 같습니다:

  • 소비자 불만 또는 분쟁처리에 관한 기록: 3년
  • 신용정보의 수집/처리 및 이용 등에 관한 기록: 3년
  • 본인 확인에 관한 기록: 6개월
  • 방문에 관한 기록: 3개월

4. 개인정보의 파기절차 및 그 방법

본원은 개인정보의 수집 및 이용 목적이 달성된 후 다음과 같은 절차로 파기합니다:

  • 전자적 파일 형태: 복구 불가능한 기술적 방법으로 삭제
  • 종이 문서: 분쇄하거나 소각

5. 개인정보 제공 및 공유

본원은 귀하의 동의가 있거나 법령에 의해 요구되는 경우에 한해 개인정보를 제공합니다.

6. 수집한 개인정보의 취급위탁

본원은 아래와 같이 개인정보를 위탁하고 있으며, 관계 법령에 따라 개인정보를 안전하게 관리합니다:

  • 수탁업체: 와이쏘컴퍼니
  • 위탁업무: 홈페이지 유지 관리, 접속 기록 관리
  • 개인정보 항목: 이름, 주소, 전화번호
  • 보유 기간: 위탁계약 종료 시까지

7. 이용자 및 법정대리인의 권리와 그 행사방법

만 14세 미만 아동의 경우 법정대리인의 동의를 받아야 하며, 법정대리인은 아동의 개인정보 열람, 수정, 삭제를 요청할 수 있습니다.

8. 동의철회 / 회원탈퇴 방법

회원탈퇴는 본원 홈페이지 마이페이지를 통해 신청 가능합니다.

9. 개인정보 자동 수집 장치의 설치/운영 및 그 거부에 관한 사항

본원은 쿠키를 사용하여 맞춤형 서비스를 제공합니다.

10. 개인정보관리책임자

  • 성명: 박현민
  • 직위: 대표원장
  • 연락처: 02-6269-2875

11. 개인정보의 안전성 확보조치

본원은 비밀번호 암호화, 최신 백신 프로그램 사용, 개인정보 취급 직원 최소화 등을 통해 개인정보의 안전성을 확보합니다.

12. 정책 변경에 따른 공지의무

이 개인정보처리방침은 2023년 04월 01일에 수정되었으며, 변경 내용은 최소 7일 전에 공지됩니다.

비급여 수가표

시술명

가격

  • 루시네이트 클래식

    119

  • 루시네이트 프리미어

    139

  • 더 루시네이트

    199

  • 메가젠 애니원

    59

  • 오스템 BA

    69

  • 오스템 SOI

    89

  • 커스텀어버트먼트

    10

  • 임플란트용 지르코니아크라운

    50

  • 골이식

    30-45

  • 상악동 거상술(Crestal)

    50

  • 상악동 거상술(Window)

    100

  • 앞니부분교정 (악당)

    129

  • 클리피씨 교정

    349 / 3

  • 설측교정

    528 / 5

  • 인비절라인 투명교정

    1,000

  • 유지장치 (악당)

    30

  • 잇몸성형

    10

  • 큐탄 이식재

    5

  • 인레이

    30

  • 레진치료

    6-15

  • 이갈이장치

    60