Find ID

You can find your ID by entering your name and email.

Find ID

Your ID has been found.

Find Password

You can find your password by entering your name and ID.

Find Password

Password information has been sent to your email.

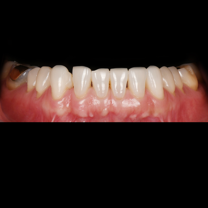
LUCINATE
BEFORE AFTER

Lucinate before after photo 2025.04.18



To treat dental issues, we applied minimal or no-prep Lucinate veneers to achieve smooth and natural-looking teeth.

Privacy Policy

LUCID Dental Clinic (hereinafter referred to as 'the clinic') values your privacy highly and complies with the 'Personal Information Protection Act'.

Through this Privacy Policy, the clinic informs you of how the personal information you provide is used and the measures taken to protect your privacy.

The order of the Privacy Policy is as follows:

  • 1. Items of Personal Information Collected and Collection Methods
  • 2. Purpose of Collecting and Using Personal Information
  • 3. Retention and Use Period of Personal Information
  • 4. Procedure and Method of Destroying Personal Information
  • 5. Provision and Sharing of Personal Information
  • 6. Consignment of Collected Personal Information
  • 7. Rights of Users and Legal Representatives and How to Exercise Them
  • 8. Withdrawal of Consent / Membership Cancellation Method
  • 9. Installation / Operation of Automatic Personal Information Collection Devices and Related Rejection Matters
  • 10. Personal Information Manager
  • 11. Security Measures for Personal Information
  • 12. Obligation to Announce Policy Changes

1. Items of Personal Information Collected and Collection Methods

This institution collects the following personal information:

  • 진료정보: 성명, 생년월일, 주소, 연락처, 진료기록 (의료법에 의해 의무적으로 보유)
  • 회원가입 시: 필수항목 - 성명, 아이디, 비밀번호, 주소, 연락처(전화번호, 휴대폰번호), 이메일
    선택항목 - 생년월일, 문자 수신 여부, 메일 수신 여부, 관심 분야
  • 수집방법: 홈페이지, 서면양식, 팩스, 전화, 상담 게시판, 이메일

2. Purpose of Collecting and Using Personal Information

The clinic uses collected personal information for the following purposes:

  • Provision of diagnostic and treatment services
  • Provision of reservation and consultation services
  • Management of membership services
  • Preparation of statistics and new service announcements

3. Retention and Usage Period of Personal Information

The clinic destroys personal information without delay after achieving the purpose of collection. However, the following retention periods are based on laws and regulations:

  • Records of consumer complaints or dispute resolution: 3 years
  • Records related to collection, processing, and usage of credit information: 3 years
  • Records related to identity verification: 6 months
  • Records of visits: 3 months

4. Procedures and Methods for Destroying Personal Information

The clinic destroys personal information through the following procedures after the purpose of collection is achieved.

  • Electronic file format: Deleted using irrecoverable technical methods
  • Paper documents: Shredded or incinerated

5. Provision and Sharing of Personal Information

The clinic provides personal information only with the user's consent or as required by law.

6. Delegation of Handling Collected Personal Information

The clinic delegates handling of personal information as follows and manages it safely under the law.

  • Consignee: YISO Company
  • Consigned tasks: Website maintenance, access log management
  • Personal information items: Name, address, phone number
  • Retention period: Until the termination of the consignment contract

7. Rights of Users and Legal Representatives and Methods of Exercising Them

For children under 14, the consent of a legal representative is required. Representatives can request access, correction, and deletion of personal information.

8. Withdrawal of Consent/Method of Membership Withdrawal

Membership withdrawal can be requested through the My Page section of our website.

9. Installation, Operation, and Rejection of Automatic Personal Information Collection Devices

The clinic uses cookies to provide customized services.

10. Personal Information Manager

  • Name: Park Hyun Min
  • Position: Chief Director
  • Contact: +82-2-6269-2875

11. Measures to Ensure the Safety of Personal Information

The clinic ensures the safety of personal information through password encryption, use of the latest antivirus software, and minimizing staff handling personal information.

12. Obligation of Notification Due to Policy Changes

This privacy policy was revised on April 1, 2023, and any changes will be notified at least 7 days in advance.

Non-Covered Treatment Fee Table

Treatment Name

Price

  • LUCINATE Classic

    119

  • LUCINATE PREMIER

    139

  • THE LUCINATE

    199

  • MEGAGEN AnyOne

    59

  • AUSTEM BA

    69

  • AUSTEM SOI

    89

  • Custom Abutment

    10

  • Zirconia Crown for Implant

    50

  • Bone Grafting

    30-45

  • Sinus Lift (Crestal)

    50

  • Sinus Lift (Window)

    100

  • Anterior Teeth Alignment (Arch)

    129

  • Clippy-C Braces

    349 / 3

  • Lingual Braces

    528 / 5

  • INVISALIGN Clear Aligners

    1,000

  • Retainers

    30

  • Gum Contouring

    10

  • Cutan Graft Material

    5

  • Inlay

    30

  • Resin Treatment

    6-15

  • Bruxism Appliance (Night Guard)

    60